Europa,  Italia,  Roma,  TDM

Cure dentali a Roma, Italia (corone, carie, scaling, paradontite): quanto costa?

Scusate se ci ho messo così tanto a caricare i diari di viaggio, ma da settembre, sono stato dal dentista e questi appuntamenti mi hanno messo in scarsa energia, è pazzesco. Pensare continuamente ai miei denti o ai miei problemi dentali mi sfinisce!

Mi chiedo se 5 continenti intorno al mondo si siano trasformati in un tour mondiale del dentista. È terribile! Ho visitato studi dentistici in Thailandia, Marocco, Canada, Italia e Turchia. Beh, quello che posso dirvi è che i dentisti francesi sono i peggiori, quindi se il vostro portafoglio lo permette e potete farvi curare altrove, ve lo consiglio vivamente.

Perché devo essere curato in Italia?

Questa è la domanda che tutti mi fanno. La nostra azienda ha ancora sede in Francia, quindi ho la previdenza sociale francese + l’assicurazione mutua obbligatoria. Se vengo curato in Francia, ho tutte le possibilità di essere rimborsato per gran parte delle mie cure.

Nel giugno 2019, mentre ero ancora a Rouen, mi ci è voluto un mese per ottenere un appuntamento con un famoso dentista, specialista in gengive (paradontologo). Essendo stato curato dal mio dentista canadese un anno prima, sapevo riconoscere i sintomi e sono corso da questo specialista per farmi curare i problemi parodontali. È stata fatta una radiografia e non solo mi ha detto che non c’era nessun problema, ma mi ha anche fatto notare che avevo una piccola carie che non aveva bisogno di cure.

Ho pensato che fosse felice, ed è stato allora che siamo partiti per Roma per 1 mese e mezzo. Tuttavia, i sintomi non sono ancora spariti (normale, non mi ha curato) e ho pensato di tornare in Francia per farmi curare da uno o due paradontologi di Parigi (insegnano anche all’università). Dopo aver letto e riletto i loro siti web per diversi giorni, mi informo a sinistra a destra per conoscere le tariffe praticate e un assistente dentale contraddice una delle informazioni presentate sul loro sito. Faccio qualche ricerca in inglese che contraddice anche quello che dicono i nostri paradontisti francesi, e francamente sono stufo e decido di non fidarmi più dei dentisti francesi.

Così, invece di tornare in Francia, ho deciso di rimanere e farmi curare in Italia.

Quanto costa l’assistenza in Italia?

Poi, i residenti hanno diritto alla sicurezza sociale, quindi pagano circa gli stessi prezzi convenzionali che in Francia. Ma per prendere un appuntamento con questi dentisti di convenzione, bisogna aspettare molto tempo, e se c’è una cosa che ho capito bene dopo questi lunghi anni in Francia, è che in odontoiatria, più è economico, più bisogna stare attenti.

Chiedo agli italiani che conosco e mi dicono che questi dentisti sono pagati dallo stato, come una specie di stipendio fisso, quindi non devono lavorare bene, o lavorare molto. Beh, non so se è davvero così, ma è quello che mi è stato detto.

Non essendo comunque uno specializzando, sto optando per uno studio privato.

Allora il problema è la lingua. Non parlo italiano, ma inglese, francese, spagnolo e vietnamita.

Ho individuato diversi studi ma quando telefono per prendere un appuntamento e chiedo se il dentista parla una di queste lingue, la risposta è no.

So che molti avrebbero raccomandato (1) lo studio dentistico americano (2) lo studio dentistico raccomandato dall’ambasciata francese in Italia.
Ma (1) ho letto una recensione – positiva – sullo studio dentistico americano, che sostiene di essere stato deliziato con una devitalizzazione in un’ora. Mi scusi, una devitalizzazione in un’ora è necessariamente un lavoro sciatto (2) non voglio essere consultato da dentisti, anche italiani, formati in Francia.

Comunque, dopo aver chiamato dappertutto, ho finito per scegliere una ditta a due passi da Piazza di Spagna. Prima di venire qui, ho perseguitato il dentista fino alla morte. Dopo aver capito che aveva 50 anni di esperienza alle spalle, che aveva scritto 5 libri sull’implantologia, che era stato professore universitario per anni, e che persino un paziente svizzero viene a vederlo ogni anno (anche se i dentisti svizzeri sono i migliori del mondo), mi sono detto “lui può salvarmi”.

Glistudi italiani hanno tutti degli igienisti, il cui compito è solo quello di fare le incrostazioni. Questo è un punto molto, molto buono, perché i dentisti che sono anche igienisti tendono a rovinare il lavoro. I paesi cosiddetti “sviluppati” spesso separano questi due lavori, tranne che in Francia, probabilmente perché i nostri tassi convenzionali sono troppo bassi per assumere una persona a tempo pieno per questo.

Tassi (gamma molto alta)

Vi darò subito le sue tariffe, che sono molto alte, anche rispetto ad altri studi, ma questo è il prezzo da pagare peril meglio del meglio:

  • Consultazione iniziale: 150€
  • Radio: 168€
  • Trattamento della parodontite: 600€
  • Cura della cavità: 473€
  • Devitalizzazione: 525 euro
  • Corona: 3 828€
  • Sbiancamento dei denti (in ufficio + a casa): 2 000€

Come va?

Vi dirò cosa succede nel suo ufficio, non so come succede negli uffici degli altri, eh?

Parodontite

Quando sono andato da lui, era per problemi alle gengive (parodontali). Hanno rilevato una perdita ossea in me, che nessun dentista francese ha segnalato ovviamente, ma il mio dentista canadese l’ha notato immediatamente e mi ha trattato con antibiotici e spazzolatura speciale. Dopo un anno, ammetto che ero un po’ più pigra e ho rinunciato alla spazzolatura speciale perché richiede troppi prodotti che sono difficili da trovare nei paesi in cui mi trovavo (Centro e Sud America). Ero anche stufo di dover trovare prescrizioni e antibiotici ogni 6 mesi e scoprire che sono sempre meno efficaci su di me.

Così, per il primo appuntamento, avremo delle radiografie da fare (168€) e la diagnosi del dentista (150€).
Per la 1a seduta, non mi ha dato la lista di tutti i problemi che avevo, ma ha solo parlato della 1a priorità: curare la parodontite
(il mio dentista canadese avrebbe elencato tutti i problemi, lei – bene ognuno il suo stile)
.

Una volta fatta la diagnosi, mi spiega perché la parodontite deve essere trattata (anche se lo so già, penso che se qualcuno scopre questo problema per la prima volta, questa informazione sarebbe stata super super utile), i passi da seguire per correggerla: 1a sessione in cui mi verrà mostrato passo dopo passo come lavarmi i denti, seguita da due sessioni di scaling profondo (un’ora ciascuna), poi una sessione di verifica finale & diagnosi finale.

Vado a vedere la segretaria che mi offre il preventivo da firmare, poi prendiamo appuntamento per la prossima sessione. Da loro, a seconda dei progressi fatti dal paziente, l’appuntamento non viene mai preso in anticipo, spesso è un appuntamento, poi un altro. Ma ricevo sempre delle e-mail se ci sono delle cancellazioni, in modo da poterle vedere prima del previsto, per esempio.

  • 1a seduta: il mio igienista guarda le radiografie, esamina lo stato delle mie gengive e suggerisce un programma di spazzolamento personalizzato. Il programma è anche stampato in inglese per non dimenticarlo. Parto con i nuovi strumenti di spazzolatura. Ora devo passare 30 minuti al giorno a lavarmi i denti. I primi giorni sono stati terribili, ho quasi avuto i crampi, ma ho resistito. In questo studio, scattano foto in HD ad ogni passo per tenere il passo con i progressi.
  • 2a sessione: scaling completo della mascella inferiore. Ripassiamo il protocollo di spazzolatura. In pratica, lei mi mostra di nuovo alcuni gesti e poi devo farlo davanti a lei perché lo convalidi.
  • Terza sessione: scalatura completa della mascella superiore. Ripassiamo il protocollo di spazzolatura. La mia igienista adatta il programma perché vede che una parte della gengiva non ha gradito il 1° passo del programma. Ri-fotografa in HD per seguire l’evoluzione.
  • 4a sessione: dopo 3 settimane di viaggio e spazzolatura intensiva, ultimo appuntamento per vedere come si è evoluto. Tutti sono contenti dei risultati e si congratulano con me per aver capito e applicato correttamente il programma di spazzolatura. C’è anche una tasca che si è ridotta di dimensioni. Ora, questo programma, dovrò seguirlo per il resto della mia vita. Il mio dentista viene a controllare il lavoro dell’igienista e a pronunciare la sua diagnosi finale: ora che la cura parodontale è finita, dobbiamo trattare questo come priorità, e questo come ultimo ecc.

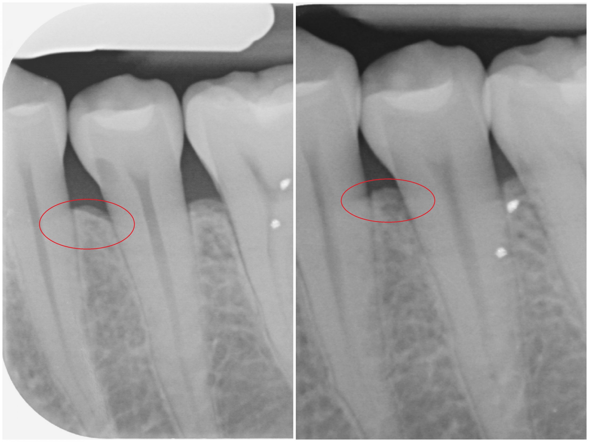
Ora che le mie gengive e i miei denti sono ultra puliti, posso tornare per una detartrasi ogni 6 mesi. Allo stesso tempo, stavo bevendo l’acqua Quinton e sembra rigenerare il mio osso, non so come spiegarlo, ma ecco le radiografie prima/dopo:

Buone notizie ricevute questa mattina: questi trattamenti sono stati rimborsati al -50% dalla mia assicurazione di viaggio. La sicurezza sociale francese richiede documenti supplementari (in linea di principio, le cure fornite in altri paesi dell’Unione europea possono essere coperte fino al livello della scala francese, ma è a discrezione della sicurezza sociale). Per continuare…

Carie

Pensavo che le carie potessero essere curate da chiunque, ma dato che due dentisti francesi hanno mancato la mia e quella di JB, ora so che non è un talento dato a tutti. Beh, trovo che i prezzi richiesti per le carie qui sono fuori dalla mia portata, avrei potuto essere trattato in Marocco o in Turchia per meno (tra 80€ e 150€), ma hey, il lavoro fatto qui era assolutamente perfetto. Deliziati, deliziati, deliziati!

Corona

È qui che le cose si sono complicate.

Ve ne parlo, ma quando si viene trattati all’estero, in una lingua che non è la propria, è molto più difficile.

  • Prima di tutto, bisogna avere il vocabolario per. Per fortuna, parlo molto bene l’inglese e sono abituato a leggere gli articoli degli studi dentistici americani.
  • In secondo luogo, bisogna conoscere il soggetto come un vero specialista, per sapere se è una priorità, non è una priorità o può essere trattato altrove. Di nuovo, ho avuto a che fare con questa corona per 20 anni, quindi conosco l’argomento a fondo

Vi ho detto qui che avevo un dente anteriore rotto a causa di un incidente. È stato devitalizzato, poi è diventato grigio, poi sostituito da una corona, che è stata poi rotta. Abbiamo appena scoperto che c’è una piccola infezione alla radice, quindi la corona deve essere sostituita comunque.

La sostituzione di un singolo dente anteriore è l’esercizio più difficile dell’implantologia perché, a seconda dell’angolazione, il colore cambia e per farlo combaciare con i denti accanto, sia l’odontotecnico che il dentista devono lavorare come matti.

Così il mio dentista mi ha suggerito di correggere completamente il mio sorriso: cioè allungare i due denti anteriori, riempire i “buchi” tra gli incisivi centrali e laterali, che consiste nel rifare 4 denti anteriori, per un risultato più naturale e omogeneo, invece di lavorare solo su un dente. L’idea è di restituire un ambiente sano ma estetico ai denti anteriori.

Ladiagnosi è il passo più importante. Se un dentista così rispettabile trova “solo” questo lavoro sui miei denti, significa che il resto è davvero, davvero OK. Preferisco che un dentista mi dica tutto quello che c’è da correggere, che mi proponga la sua migliore strategia, piuttosto che il tradizionale “tutto va bene, torni tra un anno” in Francia.

Una volta fatta la diagnosi, vado dalla segretaria e guardo il preventivo, a cinque cifre. Respiri, devi mantenere la calma e cancellare una riga dopo l’altra, tutto qui.

  • Sbiancamento dei denti? Ho ancora qualche prodotto e il mio bocchino per farlo a casa. Barred
  • Lavorare su tutti e quattro i denti invece che su uno solo? Barred, barred, barred, barred, barred…

Così ho mantenuto il lavoro da fare su una sola corona. 3.828€ (tariffa ridotta del 10% perché sono cliente con loro e ho la fortuna di avere il portafoglio per pagare in una volta sola). Non siamo più a 5 cifre. OOF. 10 anni fa, ho pagato 2.000€ a Parigi, quindi questa tariffa non mi sembra uno scherzo, soprattutto se fatta da uno specialista di impianti e da un protesista-artista.

Le tariffe in Ungheria, Cuba o Thailandia sarebbero state molto più economiche. Tuttavia, i materiali migliori sono costosi ovunque e ho bisogno di un artista delle protesi, non di uno qualunque. Ho bisogno di una corona che duri 20 anni..

La sostituzione di una corona richiede diverse fasi e le fasi più semplici (carie, scaling, pivot…) sono eseguite da altri due dentisti dello studio. Il mio dentista con 50 anni di esperienza interviene nei passi più importanti o rischiosi (per esempio: rimuovere la vecchia corona senza rompere la radice, e mettere il dente provvisorio e permanente) e viene a controllare il risultato ad ogni passo, o a volte solo per salutare e farvi sapere che sta seguendo i miei progressi e il mio caso.

Un protesista viene a dare un’occhiata al colore dei miei denti, guarda la forma dei miei denti, della mia bocca, fa delle foto lui stesso. Viene presentato dal dentista come il Van Gogh della protesi ahaha. Così, dopo aver rimosso la vecchia corona, devo andare in giro con una corona temporanea per 2 settimane, prima di ricevere la mia corona definitiva.

Ho parlato a lungo dei dettagli tecnici di una corona sul dente anteriore qui.

La differenza con questo dentista italiano (rispetto a quello francese o canadese) è chenon cerca più di correggere il mio spazio naturale tra i denti. Mi dice che è cercando di sconvolgere l’ambiente naturale che si creano i problemi che avevo, quindi lasciamo perdere la correzione cosmetica. Se avessimo voluto correggere l’estetica, avremmo dovuto correggere anche altri denti, mettere dei compositi e non un dente molto più grande dell’altro e poi basta. Mantengo lo spazio tra i denti.

Seconda differenza: questa volta ha ridotto il perno a morte, ha visto quanto era forte il mio perno in oro bianco (non potevamo più rimuoverlo), così lo ha ridotto ulteriormente in lunghezza e spessore, in modo che la corona finale sarà una copia quasi identica del mio dente naturale e molto più sottile della vecchia corona.

Terza differenza: il protesista è sul posto, quindi mi ha visto dal vivo e inoltre, ha potuto modificare la corona permanente dal vivo, dopo averla osservata nella mia bocca. Non mi è mai capitato prima, perché di solito lo fa il dentista, e il dentista non è un protesista, ognuno fa il suo mestiere

Il mio consiglio su Cabinet

Sono estremamente soddisfatto di questa azienda. Ci sono molte persone che intervengono sulla mia piccola bocca, ma mi passano accanto armoniosamente, come le melodie di una sinfonia, con estrema precisione. Per esempio, appena il dente provvisorio è in posizione, la mia igienista passa a rimuovere il cemento in eccesso. Si assicurano che sia sempre lo stesso igienista a prendersi cura di me. Non devo chiedere nulla, tutto è magistralmente orchestrato.

Anche se hanno diversi livelli di inglese, tutti cercano di comunicare chiaramente con me in inglese, dagli assistenti dentali ai protesisti ai dentisti. Le tariffe riflettono solo il livello di cura e attenzione per ogni paziente. Non ho mai dovuto aspettare (3 minuti in sala d’attesa ogni volta forse?)

Le mie radiografie e foto sono mostrate ad ogni sessione di trattamento e i dentisti e gli igienisti usano queste radiografie e foto come base per i loro trattamenti. Mi piace molto che facciano le radiografie perché molti dei miei problemi sono difficili da rilevare a occhio nudo.

All’appuntamento per la sostituzione della corona, ero estremamente ansioso, e non solo mi hanno dato qualcosa per calmarmi (4 gocce di je ne sais quoi), ma erano anche disposti a mettermi a dormire (con il gas) se volevo. Come in Canada, la sofferenza non è nel loro vocabolario, così ho sempre avuto un sacco di anestetici, e anche prima dell’iniezione anestetica, mi è stata concessa una crema anestetica per rendere le iniezioni meno dolorose!

L’ambiente è anche molto piacevole, in uno studio spazioso e splendidamente decorato (fino al soffitto) da un architetto rinomato, con musica classica in ogni stanza di trattamento.

Le foto prima/dopo vengono scattate regolarmente, le radio e le foto vengono inviate via e-mail senza alcun problema.

Allo stesso modo, le segretarie hanno fatto tutto il possibile per fornirmi i documenti richiesti dalla mia assicurazione internazionale, anche se ciò significa scrivere le cose in inglese e tradurre anche le fatture in inglese.

Alcuni consigli

Dopo questo giro del mondo dei dentisti, devo avvertirvi:
(1) il trattamento all’estero richiede tempo. Sono stato in Canada per 2,5 mesi e in Italia per 3,5 mesi, ma la cura è distribuita su 1,5 mesi con appuntamenti ogni settimana per risolvere, ogni volta, parte dei problemi. Quindi, venite a farvi curare durante le vostre 3 settimane di vacanza, perché no, ma tenete presente che solo le cure prioritarie possono essere fornite per un periodo di tempo così breve.
(2) bisogna sempre usare il cervello. Anche se volete fidarvi completamente di un dentista, i suoi criteri estetici non sono necessariamente i vostri, sta sempre a voi decidere cosa volete fare, o no. Trovo che la nostra società sta diventando sempre più assistita e le persone non sono più in grado di prendere decisioni importanti da sole e cercano costantemente la convalida degli altri. È la tua bocca, i tuoi denti, decidi tu. I dentisti esprimono la loro opinione, decidete voi. Sempre.
(3) Ci sono più informazioni in inglese disponibili sugli studi dentistici di lingua inglese, quindi sentitevi liberi di cercare in inglese su Google, invece di cercare solo in francese. È anche importante incrociare le informazioni provenienti da diverse fonti prima di farsi un’opinione finale.
(4) se non parlate inglese, comprate i libri riservati agli studenti di odontoiatria. Queste sono le migliori fonti che troverete.
(5) Non sono un dentista, se mi chiedete cosa fare, non deciderò per voi. Sono una persona normale.




Eccola qui 😀

Lascia una risposta

Il tuo indirizzo email non sarà pubblicato. I campi obbligatori sono contrassegnati *